Dentist in Rancho Cucamonga, CA
We Pride Ourselves
On First Class
Patient Care
People love Us on Google
5.0 ★★★★★

Welcome To Kaio Dental
A Journey of Dental Excellence
Welcome to Kaio Dental, where Dr. Chonway and our team of dental experts harness state-of-the-art technology to provide first-class patient care. With a commitment to raising the standard of oral healthcare, we prioritize patient connection, education, and innovative techniques. Since 2013, we have been dedicated to delivering the highest quality dental care, ensuring the health and satisfaction of our patients. Experience excellence in dentistry with Kaio Dental.
Schedule Online

Accepted Insurance
We accepts most major insurance providers
At Kaio Dental, we make quality dental care affordable by submitting insurance claims on behalf of our patients, even if we are out-of-network. Contact us to discuss coverage and maximize benefits. We are here to help you achieve the smile you deserve.
Read More
Stand Out Services of Our Practice
State of the Art Dental Center
Get top-tier dental care at our Rancho Cucamonga, CA office. Schedule your appointment today for expert care.
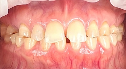
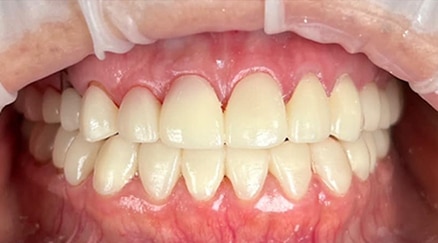
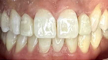
See Our Smiles
Explore our smile gallery to see the stunning transformations we've achieved for our patients.

Before

After

Before

After

















