
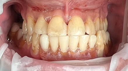
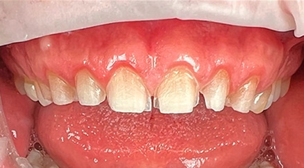
The office staff was very welcoming! They made me feel that they really care about my dental needs. I felt at ease with my dental hygienist Kassie, she was very professional. Dr. Tram was awesome and addressed my concerns. Very impressed, thank you all.

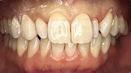
Kaio Dental is a phenomenal practice. Dr. Tram is thorough and won't try to upsell you or say you need services that you don't. His staff is very friendly and knowledgeable. The whole office really takes the time to know you and your preferences.

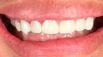
Went for my first visit to this particular dentist recently and was really pleased. I'll definitely be taking the rest of my family there. Friendly staff and great experience. I highly recommend Kaio Dental!

I have been coming to Kaio Dental for several years. Staff is amazing and the practice is very clean. There is no pushing or up selling of products or services. Just friendly faces and efficient workflows.